内镜中心

巨资引进全新国际最高端的进口奥林巴斯HQ--290电子胃肠镜,该设备是目前世界上消化内窥镜诊疗领域最先进、最高端的诊断治疗设备。比普通胃肠镜图像更清晰,具有超强组织放大功能,对胃炎、胃溃疡、消化道出血、食道癌、胃癌、大肠癌、大肠息肉、各种肠炎等疾病的早期诊断和治疗起着决定性的作用。

当前位置: 首页 > 医院动态
肺癌低剂量螺旋CT筛查是国际公认的金标准!!!
来源:新城医院 发布时间:2020-08-04 16:06
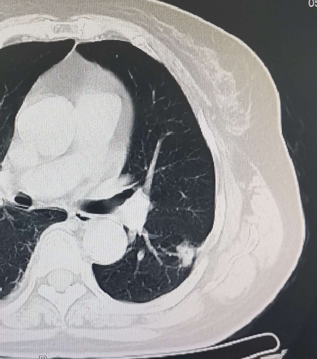
    肺癌是我国死亡率最高的恶性肿瘤  。2015年,我国肺癌的发病和死亡例数分别达733,300人和610,200人,发病率和死亡率非常接近,其原因主要是由于临床诊断病例多已为晚期,失去了早期治疗的机会。肺癌预后极差,我国肺癌的5年生存率仅为16.1% 。因此,肺癌的早期诊断和早期治疗是提高肺癌生存、降低肺癌死亡率的重要措施 。  在高危人群中,与X线胸片比较,低剂量螺旋CT可降低60%的肺癌死亡率。
   我院在全市率先引进美国GE ACT,具有肺癌低剂量筛查功能和特有的自动筛查成像系统,并唯一取得美国FDA认证。具有扫描速度快、扫描层薄、空间分辨率高、图像质量好、病灶检出率高、对人体辐射剂量小等优点,其辐射剂量相当于普通CT的1/5-1/10。低剂量胸部CT特别适用于单位和个人的健康体检及高危人群普查、肺癌筛查,同时也适用于短期内多次复查及需要长年随诊观察的病人,是一种科学、经济的检查方法,短短几秒,就能让肺结节“无处可逃”,这也是目前世界上筛查早期肺癌最先进的手段。
01
该如何做肺部低剂量CT筛查?
1、40-49岁低危人群:3年1次 
2、50-75岁低危人群:2年1次  
3、40-75岁高危人群:1年1次
 
02
哪些人属于肺癌高危人群?
高危人群定义:至少合并以下一项危险因素  
1.    吸烟≥30年(每天1包至少30年)或戒烟小于15年者 
2.    长期二手烟或油烟接触史  
3.    长期致癌物质接触史(石棉、铍、铀、氡等)  
4.    有恶性肿瘤家族史或自身有肿瘤病史  
5.    有慢性阻塞性肺病、间质性纤维化等慢性肺疾病史



    平原新城医院自开展低剂量CT早期肺癌筛查项目以来,发现多例肺癌早期患者,能让患者在肺癌早期及时得到诊治,提升了肺癌治疗成功率,极大的减轻了患者和家人的负担。
 
放射科联系电话:
赵飞:15998775559
栏目导航
医院动态
特邀专家
热点关注